
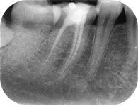
所謂的人工植牙,是在缺牙的地方放入人工植體,代替自然牙根。待傷口癒合、骨整合成功的時候,再把支柱接出來,印模,完成假牙的製作。
理論上,幾乎人人都可以接受人工植牙。人工植牙最怕的是有系統性疾病的人,只要這疾病會造成手術上的風險,這就會是我們在乎的禁忌。因此要先控制好原有的疾病,降低手術風險,常見的心臟病、高血壓、糖尿病、凝血因子、放射性骨壞死,免疫機制低落的眾多疾病,通通都算是。這不只是植牙的風險,只要是有手術的部分,任何的醫師都會在意,必須同時照會內科醫師作全身病情控制。這樣的病人,為了降低風險,若不能有效控制,有時也會捨棄人工植牙的治療選項。
據文獻指出,成功率高達九成以上,這邊的成功率指的是傷口癒合、骨整合好,可以用的植體,但不包含假牙製作失敗、螺絲鬆脫的部分。
簡單的說,"植體 +支柱+假牙" 正是所謂的植牙三部曲。植體的部分在埋藏在骨頭裡面,支柱和假牙則是外露的。
植體和支柱的部分主要是由醫用鈦合金(Ti6Al4V)或是商用純鈦金屬組成。對於人體來說,是除了黃金以外,最適合人體的合金成分。植體的剛性很重要(所以黃金的柔軟度被捨棄)。早期的植體比較會有斷裂的情況,現在科技材料進步,已經很少發生了。有些支柱會合併螺絲,會有黃金或是氧化鋯等等的組成物質,這是為了日後假牙的設計,就不全然是鈦合金的部分。上面的假牙跟一般傳統的假牙材質一模一樣,可以選擇。
這個數據一直在改變,廠商宣稱的時間也越來越縮短,以平均值來說3~6個月。主要是花在等待骨整合的癒合時間(不需要常常回診),這也是目前廠商積極開發的目標:implant surface treatment。但如果有牽扯到大面積的補骨、齒槽骨增高術、顎竇提高術等等的額外術事,療程拖到1~2年,也是常見的現象。
植牙的優點在於無中生有,自行創造牙根和假牙的部分,模擬自己生出來的牙齒。不需要依靠其他牙齒。因此缺牙的人,如果不想磨旁邊的好牙齒作牙橋,也不想作活動假牙的人,人工植牙的吸引力就會很大。長期配戴活動假牙的人,可能因為牙齒越來越少,假牙容易鬆脫、不舒服,如果可以配合植體的support,也是會有效改善這些問題。
手術風險或副作用、費用較高,其餘都是優點。
只要你能接受麻藥、拔牙等等的相關手術,基本上植牙並不痛。術後的照顧很重要:舉凡醫囑用藥、漱口水、口腔衛生、初期冰敷、不要喜歡用舌頭去玩弄、定期回診等等都會有助於傷口的恢復、降低植體周圍炎的機率。
相信大眾對於植牙的品牌相當陌生,畢竟醫療產品,懂的人都是專精於此的人。那牌子重不重要?其實我個人覺得非常重要(尤其是植體設計!)。但對病人來說,重要的不是那個牌子好,而是該醫師對於該品牌的熟悉度、操作技術、信賴感考量,這遠比什麼都重要。只是市面上的牌子這麼多(在台灣的植體品牌少說20-30家),適合別人的不見得適合你,一個真正好的醫師應該是幫病人選擇適當的東西去使用,因此品牌就沒那麼重要。只要符合國內的衛生署認證,大都可以信賴。本院所採取的植體系統有三家:瑞典的 Branemark(40年歷史),美國的 Bicon(25年歷史),韓國的Osstem(10年歷史),都是衛生署核可的優良植體廠商。
這問題應該是大家最關心的問題,植牙普不普及,跟整體費用的cost-down會有絕對的密切關係。以現在的自費價位來說,單顆植牙的價位帶在7~10萬上下,看植牙醫師的定位、病人狀況的難易度,及選擇品牌等等來考量。當然用心找,一定也可以找到5萬就有的植牙(通常在非都會區比較有機會)。因為有些醫師是以量取勝,有些醫師以質取勝,或許有些品牌本來進價就貴....決定自費高低的因素太多了。固定植牙的費用,通常就是單價乘以顆數,如果是活動假牙加上植體固定的費用,除了植體顆術費用以外,還會額外包含活動假牙的製作或調整費用。再來,植牙的期間,有些病人常會有臨時假牙的需求,這費用通常是另外算。更不用說需要額外手術的人,比方自體骨移植、骨粉再生膜、劈骨、軟組織移植、顎竇增高處理等等有的沒的,那全都是另外計價居多。
是的,其實任何的醫療,即使最簡單的補牙、洗牙,總是要給醫師看看能不能處理,植牙、矯正也都一樣,由於自費較高、治療期 & 癒合等待期較久,也需要手術的部分。因此需要完整的治療計畫。以植牙來說,簡單的模型,X光片都是必備的。X光的選擇性很多..根尖片、環口片、電腦斷層等等,現在很多都數位化了,所以不太需要擔心劑量的問題。評估的方式是由醫師告知你,你再去補足資訊即可,並沒有一定的特別流程,在治療的過程中,也大多會合併多次的X光確認,這些都算在植牙的費用裡頭,大多沒有額外收費。
這問題很難詳細回答,因為手術的設計方式(微創、翻不翻瓣、縫不縫合差很多時間)鑽頭的速度、銳利度考量,要種幾顆也是重點。大致上來說簡單植牙(3顆以內的)大約2小時以內。至於全口植牙、數量大的病人,一個診次、甚至一整天只看你一個人,也不是不可能的事。
種下植體→接上支柱或癒合帽→印模假牙製作
根據不同的治療計畫,也有手術就將植體跟支柱合而為一的方式,這樣就可以縮短一次療程,其中的利弊我不贅述,這些都是醫師的專業考量。
簡單的說就是把傷口開到最小,沒有把牙齦全部切開、翻瓣、縫合的動作。國外叫做不翻瓣手術(non-flap surgery):簡單的把要植牙的地方開個洞,鑽骨頭,種植體,放上癒合帽,手術完成。
這樣的治療方式: 優點: 減少手術時間,起碼少了半小時(翻瓣、縫合很花時間),微創-->減少創傷,降低術後不適、腫脹的機率。減少二次手術機率(通常將植體露出接支台也是需要一點小手術)。 缺點: 不翻瓣,就看不清楚底下骨頭的構造,有植體穿孔危機,因此事前的診斷、X光&電腦斷層評估就相當的重要。
這個名詞的解釋包含相當的廣,名詞定義也沒有很明確。國外的文獻在探討這類的東西時第一件事情就是先定義。所謂的立即植牙,簡單的說就是拔完牙後立刻植牙,或是植牙完後,立刻有個臨時假牙可以讓人使用,也就是把植牙的過程縮短到剩下兩個步驟:"植牙+支柱+臨時假牙"一次搞定,等癒合期一過,直接作假牙。優點:病人立刻有牙齒,減少二次手術。缺點:快不一定好,病人咬力、舌頭的干擾,都有可能會降低骨整合的機率。
牙科界一直在進步,儀器也一直在進步。現在進步到可用雷射直接挖骨頭植牙(但速度過慢,所以很少人用),一般來說雷射處理軟組織的功力,是沒有人懷疑的。所以目前雷射用在植牙,主要用作軟組織整型或是讓植體露出的簡單方式,通常只需要少許麻藥就可以完成。至於雷射的品牌種類、使用方式(氣體雷射、二極體雷射、水雷射等等),這已超過民眾求知的範疇,屬於專業領域,這邊就不贅述了。
超音波手術也是未來的趨勢,筆者認同把雷射用在處理軟組織,把超音波用在處理硬組織,這是目前最兩全其美的作法。超音波手術對於骨頭切除、黏膜分離、顎竇增高術、植體處理、微創拔牙等等都有很好的功效,我想這也是日後進修醫師很好的課題。這兩個高科技東西,還是有門檻的,因為儀器比較貴囉,所以參考看看,醫師和病人不見得一定要使用。病人若堅持要用,費用就轉嫁到自己的身上,這是跑不掉的。
所謂的失敗就是骨整合失敗,就好像牙周病的牙齒。植體會浮浮晃晃,作垂直或水平晃動,甚至脫落,X光會顯現植體周遭的骨頭是被吃掉的,完全沒有緻密感。
植牙失敗的原因很多,包括: →醫師技巧經驗不足 →病人骨頭狀況評估出問題 →抽煙、牙周病、身體系統性疾病 →未按照醫囑 →植體品牌的設計、選擇
處理方式,拿掉植體,等待三個月~半年以上,重新評估植入的可能性。若植體周圍有骨穿孔的現象,但無嚴重搖晃,可以單純進行補骨的部分即可,不需要拿出。
如果在乎學經歷的人,除了看看名片之外,一定要打聽一下周圍人的評價,評估時,感受一下醫師的專業和溝通力,這很難界定,畢竟每人感受不同。植牙的學會很多(台北市植體醫學會、中華民國、台灣植牙醫學會、ICOI...),更有許多大大小小以大師名義在開的訓練課程認證,只要醫師具備該項能力,就可以植牙。這邊說說我的經驗談,我全部的矯正、植牙病人裡,十個大概只有一兩個會去關心我這方面的學經歷,我的學經歷很普通,並不顯赫,也不是有名的專科醫師,但為什麼病人願意信任我、給我治療?除了自我要求以外,更重要的是要具備幫病人解決問題的能力還有給病人的親切、信任感!!
答案當然是no,你買了一台很名貴的車子,常常在使用,十年、二十年不會壞嗎?當然會,但有效率的保養、定期檢查會延長使用壽命。同樣的,植牙天天在你嘴巴裡使用,使用率比車子還高、更頻繁,定期的給醫師檢查,或許幾年後出問題、要更換零件、調整咬合有的沒的,這些都會影響植牙的使用年限。所以還是養成固定看牙醫的習慣,對大家的健康人生是有幫助的。
如果是簡單一顆顆的植牙,跟一般傳統固定假牙的清潔是沒有差別的。牙刷、牙線的正常使用,縫隙較大的地方,漱口水、牙間刷等等的輔助也都很有幫助,定期回診檢查,咬合調整也是必要的喔
這跟醫師作法有關係。我個人的作法是這樣,給大家參考。我是採取做到那裡,收到那裡。比方種下植體,我會收6-7成的費用,接上支柱印模,再收二成的費用,最後的假牙完成,再收一成的費用。植牙若有失敗的部分,不會再收額外的費用,做到好為止。
答案是不需要。我個人的作法是:手術完的1-2個禮拜,要回診檢查一下傷口(有些可能要拆線),若是都恢復的很好,1-2個月後作X-ray檢查。若是順利,3-4個月後,接上支柱,準備假牙製作,最後再X-ray確認。
只要經過評估診斷後,你想作,隨時都可以。
→即拔即種 →傷口恢復三個月再種 →拖了好多年才種
上面各種情況,以現在的技術都不是問題,唯一的問題,大概就是預算吧。 要特別說明的是缺牙症候群會在一年以後發生,骨頭地基也會在一年內的吸收變化最大 如果可以,我鼓勵大家盡量在缺牙後一年內完成假牙(任何假牙),降低日後可能的醫療成本
不分男女,普遍來說最好超過18歲,骨頭比較成熟,是適合植牙的好時機。 老人家比較需要擔心手術的風險,如果身體疾病,控制得宜,植牙仍是很好的選擇。 讓老人家的晚年生活更有品質(吃東西對老人家來說非常重要,不管是生理還是心理)。 但如果身體狀況不佳,不建議作任何侵犯性手術,畢竟人命比牙齒更重要!
骨質疏鬆的人,一樣可以植牙。但有些骨質疏鬆的人,醫師會開雙磷酸鹽藥物,目的是抑制患者的蝕骨細胞,同時也會抑制造骨細胞生成。但因為植牙病患需要骨頭生成(骨整合),因此目前此藥物會視為禁忌,多半建議停藥半年再驗血測指數。至於骨頭疏鬆的人依舊可以植牙,有問題的是那個藥物,只要有骨細胞、血管生成,骨質較為疏鬆的人並不會對植牙造成影響,但可能骨整合的時間會長一些,可以多等待幾個月再做假牙,會比較保險
通常無法根管治療救下來的牙齒,才需要拔掉作植牙。有些牙齒的健康狀況很糟,治療也撐不了很久的話,的確就要考慮拔掉植牙,以免狀況越來越糟,危害隔壁牙齒的健康,因此需要醫師當面評估,會比較恰當。
補骨的材料簡單區分成:自體骨和骨粉。簡單的說,自體骨就是從自己的口腔取出來的骨頭,而骨粉通常是人工合成或是從異(同)種的生物粹取出來的。理論上來說自體骨最為優異,因為沒有排斥的問題,其次才是骨粉。至於哪種作法比較好,常常決定權在醫師的身上,我們會看傷口的大小來決定種類,如果患者沒有足夠的骨頭可以取出或者不想有第二傷口,通常以骨粉來進行手術會是最多醫師的選擇。



根管治療就是俗稱的抽神經,但其實除了抽牙髓神經之外,還必須要把牙根內的管路清創乾淨,擴大後並封填起來,才算是一個完整的療程。治療的過程中,常常需要拍攝數次的根尖X光片,確定根管的方向數量與治療品質,無須擔心劑量的問題,牙科的劑量遠遠低於胸腔X光的劑量。
根管治療依照牙齒難度的不同、位置不同、根管數目的不同,通常要來個2-5次,每次約半小時到一小時,這些都是合理的範圍。根管治療施行的時候,醫師多半會上麻藥處理,只是有時候麻藥也沒用,病患還是會有疼痛感,所以有時會配合根管用藥和口服藥物,讓疼痛感降低。
通常牙齒有深層蛀牙、自發性疼痛,甚至極度敏感的牙齒,我們均會建議作此治療。唯有如此,才可能避免後續極度疼痛或腫脹發炎的現象,即時救回可以用的牙齒。有時製作固定假牙或牙橋的過程,牙齒也可能會產生不適,情況嚴重未改善者,也需要根管治療。
根管治療過的牙齒,除了原有的蛀牙產生的結構喪失之外,我們還會在牙齒咬合的正中央開洞作治療,因此結構喪失很嚴重,同時牙齒失去活性養分,容易變脆弱,所以根管治療後的牙齒,多半會建議作假牙套保護起來,以便延長壽命,萬一咬裂成兩半,醫師也救不回來,恐怕只有拔掉一途。
根據統計,大臼齒做過根管治療,沒有套起來的,五年內發生問題的機率高達80%,而前牙發生問題的機率是 20%,因此提供這數據給大家,您要不要冒風險呢,聰明的讀者就自行決定了,畢竟是自己的牙齒,萬一裂掉的話,風險自己負責唷!
前面提過根管系統是很複雜的,有時經過醫師的努力,依舊沒辦法讓病人的不適感降低,這時候若觀察無效,我會建議請醫師轉診或找根管專科處理。牙醫師也是有分次專科,總是有對根管治療比較擅長的醫師,這些醫師多半訓練有素,各大醫院的牙髓病科都可以見到他們的蹤影,如果真的有問題,不妨找尋他們試試囉!
通常會使用到進階的根管治療,表示牙齒的發炎症狀明顯,病人可能有不適感,若是傳統的根管治療無法滿足,就必須要考量其他方式。譬如:顯微鏡根管治療,根尖手術,牙根切半術,蓄意再植術。基本上這些都已算是專科的範疇了,每個術事都有其優缺點,我想我就不在這邊詳細解釋,找醫師評估的時候,自然會詳細告知您詳細過程與收費情況。
根管治療的過程中,或許或產生不適,此時可以服用醫師給的藥物,同時也避免用這邊的牙齒咀嚼東西,以免症狀加劇、暫時充填物掉落或是咬裂。至於刷牙、牙線的清潔都跟一往一樣,不需要刻意避免。若有急遽疼痛或是腫脹的情況,請儘速回診,以便讓醫師換藥處理。
通常懷孕的婦女或是有甲狀腺病史的人,要特別注意藥物的使用和X光照射的保護,若有疑慮的話,甚至延後治療。此外,如有先天性心臟病或是心臟辦膜缺損,曾有細菌性心內膜炎的病人,可能要照會心臟科醫師,必須要考慮術前抗生素的使用,避免術後感染。除此之外,根管治療沒有特別的禁忌,普羅大眾皆可放心的接受治療。


據統計,國人九成以上都有牙周病。牙周病是個很廣泛、大量使用的名詞,現代人解讀的是:只要牙周有問題,都說是牙周病,基本上不論對錯,還算是可以理解的範圍。比較精確的來說,通常是先有牙齦炎,在沒有醫療控制和好好的自我清潔下,就會變成牙周病。牙齦炎最初的症狀就是流血,想必很多人都有刷牙流血的經驗,這就是牙齦炎的表徵,此外牙齦顏色紅腫也可以看的出來跟健康的情況不同。牙周病的具體現象就是牙齦萎縮劇烈,牙齒動搖,無法施力咬,牙周囊袋過深(通常是大於5mm),骨頭吸收,時常覺得口內有異味卻都清不乾淨。經由牙醫師的視診、觸診、X光檢查,就可以判定有無牙周病。
基本上牙科的病狀幾乎都是由細菌引起的,牙周病也不例外。牙周病也有遺傳因子,但更重要的是後天的保養清潔,才是有效控制牙周病的關鍵。當牙周病產生的時候,清潔完整度會變的困難(因為牙周囊袋過深,清潔不到),因此建議作了牙周病治療後,才會有比較好的維持效果。
首先要作的就是超音波洗牙治療,想必這方式大家都很有經驗,先把看的見的、清的到的牙菌斑和牙結石清除乾淨,避免繼續刺激牙齦發炎,為重要的步驟。在這個階段也要充分學習潔牙的技巧和知識,便於防患未然。牙周病患者可能還要接受進一步的牙周治療,譬如說:牙根整平術,牙根翻瓣牙周手術。依照情節的嚴重,按序治療,不需要急就章的跳來跳去,只要持之以恆,多半牙周病都可以控制的很不錯。現階段健保局也提供”牙周病統合照護計畫”,對於需要牙周病治療的民眾,更加的節省費用與品質保障,不妨可以詢問你的牙醫師。
醫師處理的牙周病治療多半是深層清潔,不管有無手術,幾乎當下都會造成不適或不能忍受的現象,除了洗牙之外,多半會上麻藥處理。麻藥退後,每個人不適的情況不一,但多半都在可以接受的範圍,手術區一個禮拜內,刷牙力度要輕,不要過度用力拉扯傷口,必要時配合藥物使用和漱口水幫助清潔,多半均會恢復正常。
這個是民眾都會有的疑問,如果是牙齦炎或是輕微的牙周病,的確會痊癒!但如果是中等甚至嚴重牙周病的患者,多半只能力求控制維持不要惡化!牙周病的預後要好,除了醫師的治療之外,其實民眾自身的清潔能力才是關鍵,牙齒是自己的,細菌是外來的,不要把責任都丟給牙醫師,自己也要為自己的口腔健康負責把關。
病況嚴重者,評估治療效果很差時,通常醫師會建議拔除,以免鄰牙跟著遭殃。若有缺牙,就必須要考慮假牙的重建,至於要用哪種方式重建,醫師會建議先把牙周情況控制好,再來討論作哪種假牙,免得假牙做上去了之後,不易清潔,牙周狀況變差,地基毀損,連上面的假牙也一併壞掉,得不償失。
這問題問的很好,很多人都會想:我的骨頭吸收掉了,地基不好,能植牙嗎?事實上,植牙最多的人都是老年人,一方面預算充足,另一方面牙齒都因為牙周病掉光光了,不想用活動假牙,結果就考慮植牙。事實上,有牙周病的患者,植牙仍是可以允許的,重點還是在於牙周病有無具體的控制,要植牙的部位,鄰牙的問題是否已經解決了,如果地基沒問題,對於現在人工植牙的技術不成問題,少骨頭就補人工骨粉,現在的醫療很進步,通常都可以滿足病患的需求。
很多人都有牙齦萎縮的問題,牙齦萎縮的原因有幾個:生理性萎縮、刷牙過度用力、牙周病萎縮。當發生這樣的情況時,首先要先瞭解病因為何?生理性萎縮是因為年紀老化的關係,幾乎人人無法避免,只能盡量清潔;如果是刷牙過度用力的,就要改善刷牙方式,調整力道或改用音波電動牙刷;如果是牙周病萎縮的,就要予以治療。但可惜的是:已經萎縮的部分通常不會再長回來,醫師能作的就是把牙齦裸露的地方予以樹脂充填保護。有些美觀區,若是在意的話,就要評估牙周整型手術(取牙齦補牙齦),期待它能恢復可接受的美觀。
除了基本的牙周病清創治療之外,常常會有醫師藉由其他的工具來輔助治療,比方說雷射殺菌、囊袋放藥、牙周補骨手術的方式,來達到長久除菌、刺激生長的效果,因此答案是有用的。但若是民眾沒有好好的作術後保養清潔的話,其實這些輔助的效果就會大大的打折扣,治療白作,錢也白花了,要根治牙周病,觀念和行動最重要,要不然作什麼治療都枉然。
有在作牙周病治療的患者應該都明白一件事:定期追蹤的必要性。追蹤的過程,我們會去檢視患者恢復的情況,給予適當的支持性療法。在牙周病中等程度以上的患者,似乎會建議年年都要接受牙周病的基礎治療,以便維持良好的效果。不過不需要預設立場,只要做好清潔和定期追蹤,由醫師檢視過後,會告知您還需不需要作處理。


簡單的區分:固定假牙、活動假牙、人工植牙。固定假牙是民眾最熟悉的技術,根管治療後的牙齒、缺牙的重建,改變牙齒外型,多半和固定假牙脫離不了關係,只要治療後,有可以用的牙齒存在,經由把牙齒縮小,取模,即可訂作專屬的固定假牙,並黏合在牙齒上頭,不會取下。活動假牙的原理就是利用黏膜或剩餘牙齒的支持,而附著在口腔裡頭,優點就是不傷牙齒,缺點就是異物感大,咬合力較差,需要拿上拿下清潔。人工植牙就是具備無中生有的能力,在缺牙的地方植入人工牙根,待傷口癒合後,再裝支柱,印模製作固定假牙。
假牙的功用就是咬合功能與美觀。如果您有缺牙的問題,有咬合不良的問題,有美觀的問題,這些都會影響到你的日常生活,那麼你就該裝假牙,以便達到您的需求。
每種假牙的製作方式都有其優缺點,建議找醫師當面評估您的需求會是最好的方式。一般來說:人工植牙>固定假牙>活動假牙,這是醫師治療上的考量順序,但可能因為病人預算不足或牙齒條件不好,而屈於使用其他方式處理,那也是沒有辦法的事。沒有最好的假牙治療,只有最適合你的醫師,找個可以信任、溝通且維持術後照顧的醫師,才是民眾一輩子口腔健康的福氣。
缺牙的時候,容易產生以下的副作用:鄰牙傾倒過來,牙周齒列失去穩定,易塞食物,不易清潔,對咬牙變長,咀嚼效果變差。基於這些理由,誠摯的建議您,缺牙就要補上,免得副作用越來越多。
薄瓷貼片是近幾年來,牙科贗復突飛猛進的新技術。我們常看到很多藝人在鎂光燈下,每個都有一口漂亮的貝齒,實際上多數是人造的貼片,並非天生麗質。貼片主要功用就是美觀,重新塑造整齊的外型,改變牙齒的顏色,若是整排製作,可以達到非常工整亮麗的效果,這是藝人或是有社交需求的人所急迫需求的。一般民眾多半使用在牙齒無法漂白或是門牙有樹脂染色、變色的問題身上,優點就是不需要像假牙一樣,磨掉很多牙齒,只要在牙齒表面輕輕磨掉一層,像貼磁磚一樣的黏合上去,即可完成,視為該療法的最大優勢。只要製作得當、保養適宜,也可以用上許多年,但飲食方面不要刻意咬硬物,免得像磁磚一樣有崩落的危險。
固定假牙在牙齒治療完畢之後(可能是根管治療、蛀牙、牙周的清潔),就會開始準備假牙套的製作。通常會先裝上鑄釘(有根管治療的才需要),再來是把牙齒磨小印模作假牙,作臨時假牙,等待幾天後,換上正式假牙。整體的療程會來個2-4次,試戴過後,若無問題就會用永久黏劑,予以固定。
一般來說,任何東西皆有其壽命,不要有用一輩子的幻想,天天都在嘴巴裡使用的東西,對自己的健康好一點,有問題就要換(邊緣不密合,牙齒有症狀),時間到了也該換。通常我給假牙的壽命是十年的標準,那十年就該換了嗎?換當然是最好,但如果你當初的假牙作得很好,材質也選的非常的優異,自然這壽命可以再延長個5年也算合理。如果當初的材質選的很普通,建議早點換一換,免得合金成分慢慢解離,假牙不密合了,裡面都蛀牙發炎了還不知情,那就得不償失,假牙就越作越多了。
一般假牙分成三類合金:
貴金屬以Jelenko-o, Cameo為代表(以金含量為主,超過50%) 半貴金屬以Option, Jelstar,Pana, Ti冠為代表(以鈀銀含量為主,超過50%) 一般金屬以base metal或是 Nickel(以鎳鉻含量為主,超過50%)
事實上,貴金屬不是只有金而已(包括有金、鉑、鈀、銀),只是我們習慣用金為代表稱呼,民眾也容易理解。哪種適合我們呢?假設預算沒有問題,多半會建議貴金屬假牙,原因很簡單,貴金屬越多,對人體的生物相容性越好,假牙越密合,牙齦也不容易發炎,使用壽命也較為長久。
除了一般金屬牙,瓷牙(內含金屬)之外,現在更流行全瓷冠(完全沒有金屬),生物相容性和美觀都非常的好。瓷對於牙周健康,完全是不刺激的材質,加上透光性好,所以是現在固定假牙贗復的主角之一。相信你一定看過,很多人做完假牙,幾年後,牙齦變黑的問題,但多半是牙齦萎縮,金屬染色造成的,全瓷冠幾乎沒有這困擾。因此預算如足夠,牙齒條件足夠,全瓷冠會是我最建議的假牙材質,而且可能逐漸取代貴金屬,成為新時代的主角。
那全瓷冠的材質有什麼不同?不都是瓷嗎?是的,瓷粉的主成分都是相同的,大都以長石、氧化矽、氧化鋁、氧化鋯為主體(百分比不同),差別在於系統的不同、製工不同,因此產生的堅硬度和美觀就不會相同。
全瓷系統品牌在台灣市面常見的有: IPS e.max, Cercon, 3M Lava, Zirconia, Procera, In-Cream....等等,各有其優缺點,所以選擇專業的醫師,信任其專業的建議去作選擇就好。
記住一句話:醫療行為永遠都沒有一勞永逸的事。假牙的確不太會壞,因為壞掉的都是裡面的牙齒或牙周地基,假牙用久了,都會有密合度和老化的問題,這部分醫師很難處理,只能請病人將假牙的材質選好一點,定期檢查、保養勤勞點,才能有效的延長假牙壽命。
我們人體的咬合力非常的巨大,常常都有人因為磨牙或嗜咬硬物,將瓷或金屬咬破或造成假牙容易鬆脫,尤其在咬合空間不足的情況下常常會發生。因此在適當的情況下,選擇適合的材質變的很重要,這算是醫師的專業考量,通常會讓醫師來決定。萬一假牙真的發生問題了,非常建議您要找原來作假牙的醫師處理,因為是他幫您作的,他最清楚您牙齒的情況,這樣提供保固或是優待處理才划算,因為找新的醫師接手,多半都會建議作個全新的假牙,費用當然重新計算。有些人也容易有固定假牙鬆脫的問題,原因跟前面一樣,多半是空間不足,所以假牙抓不住裡面的牙齒,所以容易鬆脫,建議一樣找原來的醫師處理,一併討論日後可能的發展,避免無謂的糾紛。通常在常見的情況下,醫師多半提供一年的保固。至於貴金屬或全瓷冠,多半提供2-3年以上的保固。
假牙種類、設計琳瑯滿目,的確是非常專業的技術考量,根據醫師的所學和臨床經驗,都會給予民眾適當的建議。要選擇什麼金屬?要不要用鑄釘?假牙要連起來還是分開?活動假牙的勾子怎麼設計?人工植牙的品牌?假牙壽命?….其實有太多的專業性需要考量,此外民眾自己也要斟酌預算、年紀、身體狀況,去尋求對自己最好的醫療方式。民眾在選擇醫療的時候,除了預算之外,不要忘記就診的方便性,有些人為了便宜或認識,去偏遠的地方找醫師或密醫處理,卻忘記了自己回診的方便性、也賠上了健康,醫療沒有一勞永逸的,培養自己信任的家庭牙醫師,為自己的健康把關,才是長久之道。


當牙齒的外型、結構受到改變,民眾感受到咀嚼的不便、酸痛的不適或外型不美觀,醫師作最多的治療就是補牙了。補牙除了移除蛀牙之後的填補外,還包括咬耗,缺角,齒頸部磨耗等等,都是在補牙的治療範圍之內。
首先要先將蛀牙清除乾淨,利用高速手機將蛀洞打開,利用低速手機、刮杓將軟化的牙本質挖除後,把牙齒表面作清潔酸蝕的動作,塗上保護結合劑,樹脂填補,光照聚合後,咬合調整,拋光等等。
一般常見的補牙材質有:樹脂、玻璃離子、銀粉、臨時充填物,全瓷或金屬齒雕。現在健保的給付項目為前四項,只有齒雕是自費。在實際面上,越來越多醫師以補樹脂為最大宗,原因是因為便宜、美觀。而銀粉則因為環保、健康的因素,越來越少醫師使用。但其實每個材質各有其優缺點,而牙醫師會比民眾還清楚,如果沒有民眾特殊需求,我想多數的牙醫師會使用適當的材質來處理,不必過於憂慮。自費的齒雕,主要是用在補綴面積過大的牙齒身上,因為面積大,咬合力大,補的東西可能常常掉落或牙齒崩裂,若是有這樣困擾的民眾,可能要藉由齒雕的印模製作,做出一體成型的成品,將其黏附在牙齒身上,可以預期地將更為堅固,可以維持較久的時間。
補牙算是一種侵犯式治療,為什麼呢?因為它有移除牙齒結構的動作,不管是挖洞、去除齲齒,通常只會離牙髓神經越來越靠近。再加上操作填補材料時(酸蝕、黏劑刺激、光照樹脂聚合收縮),也可能讓牙齒比較敏感,所以會聽到許多患者的抱怨,為啥補牙前沒事,補完牙之後反而變敏感。通常補完牙的幾天有這樣的現象,多是屬於正常的,不要去刺激它,靜待恢復即可。但有些人因為齲齒過深,雖然醫師移除乾淨,也填補起來了,病人酸痛的不適感仍舊嚴重,那麼就必須要考慮用覆髓或根管治療的方式來解決,無法強求。隨著科技的進步,材料發展越來越完善,加上良好的牙齒條件下,可以想見副作用的風險會逐漸降低。
口腔健康是身體健康之母。人一輩子都需要吃東西,口腔的美觀與咬合功能勢必隨著社會的富裕和人口老化也日趨重要。基本的口腔治療,包含洗牙、補綴、根管治療、牙周治療都是維持口腔健康的不二法門。除了醫師的專業治療外,專業的口腔衛生指導,包括牙刷、牙線、牙間刷、牙橋穿引器、沖牙機、牙菌斑顯示劑、貝式刷牙法等等的輔助使用,您都熟悉了嗎?歡迎就診做例行性的檢查與口腔衛生指導,相信對您一輩子受用無窮。












如果沒有正確地刷牙,食物殘渣就會與口腔中的細菌逐漸形成牙菌斑,堆積於牙齒上,並產生會侵蝕牙齒的酸性物質,造成蛀牙。另外,有些牙菌斑堆積於牙齦與牙齒交界的牙齦溝內,並分泌毒素造成牙齦發炎,嚴重就會破壞牙周齒槽骨,造成牙齒鬆動,產生牙周病。趕快瞭解您平常的刷牙習慣是否正確,並儘快養成天天使用牙線的好習慣!!
許多家長擔心早期矯正療法太新,擔心小朋友成為白老鼠被測試。這點大可放心,只要是找對活動式裝置有經驗的矯正醫師,就不必擔心。而且,活動式裝置在歐洲使用已經超過七十年了,在美國、日本陸陸續續也有很多醫師開始使用了幾十年,所以已經是一種相當成熟的療法,不會有什麼需要擔心的。至於不舒服或疼痛的情形,相對於固定式裝置,實在是舒服太多了。而且牙齒清潔上也比較方便省時,對每天趕時間上課的小朋友比較無負擔。裝戴過程中或許偶爾會有局部的疼痛發生,但並不會時常發生,只要稍許調整裝置,小朋友幾乎無任何不適!這部分在給小朋友裝置時,醫師及護士都會再度提醒叮嚀。
這部分原因是對早期矯正及活動式裝置的不瞭解所造成的誤解或偏見。當然一部分也是由於目前國內有不少醫師模仿課本上德國早期矯正的活動裝置給患者進行治療,但是可能無法正確地調整使用,而無法達成預防治療的效果,因此常常因為患者不戴,或戴了幾年後沒有明顯治療效果,最後還是得拔掉牙齒接受2~3年成人固定式治療,這樣的療法難免會讓人感覺不到任何預防的效果,甚至覺得多此一舉,讓病人多花錢、多花時間。
另外,也有醫師在還沒換完牙的小朋友門牙上黏上成人用的固定式矯正器,把這種療法也稱為早期矯正,這種方式也引起相當多矯正醫師的批評,認為對整體矯正治療沒有幫助,而且太早裝戴固定式矯正器對牙齒的健康非常不利,也因此對這類型的早期矯正持有反對看法。當然這些療法並非本文所介紹的德國早期矯正,只是因為都泛稱為早期矯正,難免會有混淆而被誤解的情況。
矯正是牙科領域的專科項目,是牙醫系畢業後再學習的專科訓練項目。因此專科醫師的訓練領域會決定醫師治療的觀念與哲理。過去牙醫師在學校幾乎都接受到成人齒列矯正,也就是需要等到換完牙(約十二歲後)才做矯正的觀念,原因當然是固定式矯正器適合運用於恆牙齒列,也就是受限於矯正的裝置。而目前國內的矯正專科訓練或兒童牙科專科訓練也仍然以此觀念為主。七歲矯正的觀念雖早在德國歐洲流行,但是國內與德國及歐洲矯正界的接觸太少,因此了解及會應用這種活動式技術的醫師在國內相當稀少。所以七歲早期矯正目前在台灣仍是相當前衛的觀念,大部分的國內牙醫師、矯正醫師或兒童牙醫仍然未聽聞或了解這種療法。因此你的牙醫師只是告知你目前國內最普遍的矯正療法(也就是本書所提到的美式/傳統固定式矯正法),所以沒有醫師觀念對錯或醫療疏失的問題,而是家長對小朋友在療法上選擇的問題。
齒顎矯正科與兒童牙科在牙醫界是不同的專科領域。兒童牙醫算是專門看兒童牙齒的一般科或家醫科,主要處理兒童看牙的心理行為障礙,治療乳牙的齲齒或根管治療等。當小朋友有局部空間問題,兒童牙醫也會給患者裝戴空間維持裝置,或局部的空間調整的活動裝置,但是最後牙齒排列的矯正的問題,基本上也是轉診給矯正醫師來處理。這時若矯正醫師仔細分析才發覺需要拔牙矯正的狀況,這就讓之前的預防處理失去了效果,因此預防處理還是最好有完整而連貫的治療計畫,才不會前功盡棄。
由於兒童牙醫界在矯正治療的時機乃是尊重矯正專科界的觀念,因此也是會建議等換完牙後再做矯正。而在德國,七歲矯正的觀念也是由矯正界發起的,並非兒童牙醫界提出的。據了解,近幾年來,國內兒童牙醫聽聞美國矯正界已經推行七歲做矯正,但是他們配合的矯正醫師卻無法提供這種早期療法,因此不少兒童牙醫就開始接管處理這部分的矯正,當然,治療成效還是得看這位兒童牙醫師的早期矯正裝置的訓練背景及經驗,而最重要的是如何與未來的矯正醫師配合,家長在接受治療前還是先多瞭解。
兒童與青少年的定義是各國不同,以及牽涉不同的範疇(法律、心理、醫學、社會學)而有所不同。以德國法律定義而言,兒童是十四歲之前,十四到至十八歲是青少年。一般國內觀點所認知的兒童,大概是十二歲以下(大約是小學階段),青少年大概是十二到十八歲(中學階段)。而在牙科談兒童及青少年的差別,並沒有以恆牙齒列及混合齒列來定義來得清楚。因為現在小朋友營養比較好,不少人在十歲就換完牙,雖然大家都認為這位小朋友仍是兒童,但是在矯正治療上就是以成人齒列來處理。而這中間就有模糊地帶,也因此有些矯正醫師其實是習慣使用成人固定式裝置及支持換完牙才矯正的醫師,但是如果患者是小學階段就換完牙,而可以戴固定式裝置治療,就將其稱為兒童齒顎矯正。這當然還是要與本診所所談的,換完牙前戴的活動式矯正裝置的早期矯正方式加以區別。
由於國內有不少矯正醫師會讓還沒換完牙的患者提早戴上固定式矯正裝置,所以也很多反對這種方法的矯正醫師會告訴病人早期矯正不好!像這類的早期療法確實是比較有爭議的,因為小朋友會因此延長固定式矯正器的裝戴時間,可能會增加蛀牙及牙周病的危險性。再來,許多治療雖然提早裝戴牙套,但是預防治療目標並不是很明確,患者最後也常被拔牙,與等換完牙後才做矯正的療法相比較之下,好像沒有實際的優點,反而有延長矯正療程及口腔清潔問題的缺點,因此有不少矯正醫師反對這種療法。這類早期矯正也是導致德式早期矯正被誤解的原因之一,因此在評論早期矯正好不好前,應該要先區分是哪一種早期矯正。
國內長期以來醫師都以固定式矯正為主,在思考邏輯上很難想像如何能夠用活動式裝置來矯正牙齒。筆者也曾經被其他醫師同仁誤解,以為我都用固定式矯正來做早期矯正,還因此被批評太殘忍。因此,這本書的出版也是希望加以澄清,讓其他牙醫界同仁了解真正德國早期矯正的面貌。
德國的早期矯正是使用活動式牙套,如此小朋友可以自行拆下清潔牙齒,不用擔心戴太久會蛀牙的問題。最重要的是這種療法最符合新世紀預防醫學的觀念,也就是在七歲時齒顎問題發生之初就加以阻斷,避免日後牙齒擁擠而須拔牙或是顎骨發育異常而需開刀的情形,而這就如同人在發病之前就加以阻止一樣,避免因日後病情惡化,而有器官組織需要切除之情形。
經常發生的狀況是,父母看到孩子最先長出的前牙擁擠,前去求診,醫生便將門牙兩側的乳犬齒先行拔除,利用乳犬齒的空間,讓前面四顆擁擠的門牙戴上固定式矯正器來排整齊。乍看之下,這似乎解決了問題,但是到了十歲左右,恆牙犬齒長出來了,而原本乳牙犬齒的空間早就借給旁邊的門牙排列,因此虎牙恆齒沒有位置長,只好被擠暴在齒列外面。經常這時醫師又會要求拔除第一小臼齒來解決犬齒外暴的問題。這種“早期矯正"實際上只是挖東牆補西牆,將擁擠問題延後發生而已,並沒有實際預防的效果,實在不能稱為早期矯正。
德國的早期矯正因為是調節牙床讓原本不夠的位置增加,而不是去借旁邊牙齒的位置,因此是不需要提早拔除乳犬齒的。近年來的研究也發現,太早拔除乳犬齒反而會造成前牙的牙床萎縮,讓未來的恆牙更排不下,更惡化擁擠的問題。
如之前所提到的,在國內矯正已經可分為支持以及反對早期矯正兩個派別。但是讓一般民眾傷腦筋的是,即使支持早期矯正的醫師中也有不同的派別,這情形也常讓民眾莫衷一是,其實這就是牽涉到矯正的派別,當然也某種程度顯示矯正醫師對矯正療法有一定程度的自主性,只要醫師能基於足夠的理論,能說服患者接受,並且順利依這理論完成讓患者滿意的病例,就算是成功的矯正治療,因此很難對這些不同理念的療法去定對錯,應該都表示尊重。
所謂早期矯正,廣泛而言,只要是比傳統成人齒列矯正所建議的時間還早,也就是換完牙前就開始做的矯正治療,都可以泛稱為早期矯正,只是關於開始治療的時間點,有不同的意見,進而產生不同的治療的理念。這些理念大概可分三種:有一部分醫師建議乳牙發育完成後就可以開始(3歲起);也有建議開始換牙(混合齒列期,約7歲)再開始;當然,也有人建議換完牙前一、兩年開始(混合齒列晚期,約9~10歲)再開始做。當然太早做,療程會過長,家長及小孩都會很辛苦;太晚做又擔心來不及,到時候又得拔牙矯正。
經過長期觀察與經驗比較,目前先進國家大多數同意的治療起始點就是七歲,也因此由德國開始,現在美國日本矯正學會也由矯正學會官方出面,開始向會員及民眾推展七歲的治療。目前七歲的理念是受到歐美日等先進國家的矯正學會正式支持的、言之有據的新趨勢。
七歲矯正基本上是一個提醒家長注意自己小孩牙齒發育情況的時間點,所以所需的診斷當然在即將滿七歲就可以開始,由專業的早期矯正醫師來進行診斷評估。事實上,並非所有患者都建議七歲才開始做矯正,當有特別異常狀況,如戽斗、唇顎裂的患者或有嚴重的顎骨生長異常者,當然需要更早做矯正。而一般多數患者沒有這類嚴重問題,都可以等到七歲後才開始做矯正;也有些較輕微的患者可以等到八歲再開始,甚至如果診斷沒有早期矯正的需要,就直接等到恆牙時期再做評估。這類被診斷不需早期矯正的患者,理論上應該不會長得很離譜,大部分應該沒有成人矯正的需要,當然有些人會有美觀的需求,希望牙齒更整齊、更有魅力,當然可以在微調矯正一下。如果此時才發現有拔牙的需求,則矯正醫師就需要檢討當時應該建議這位患者進行早期矯正治療。
目前相當流行的固定式矯正系統,是設計來用在恆牙上,這類裝置的尺寸,形狀及內建的角度、厚度等,都是為了恆牙而設計的,因此過去牙醫師受限於這種成人恆牙矯正系統,當然都不得不放任小孩的牙齒擁擠或骨骼異常繼續惡化,等到約十二歲換完牙後才使用這種固定式裝置治療。目前世界上並沒有為了乳牙設計的固定式矯正裝置,若有醫師在乳牙上裝矯正裝置,那都是拿恆牙系統的來代用的,而這種使用方式在牙醫界是有爭議的。近年來隨著早期矯正的風潮,許多矯正醫師,開始用固定式裝置用來做兒童早期矯正,這是一種令人相當憂心的現象,因為固定式矯正裝置用在乳牙或混合齒列上會有相當程度的副作用。
所謂全程規劃式矯正就是由兒童換牙期間的活動式治療,一直追蹤治療到換完牙後的成人固定式矯正,為一個完整療程。有別於一般要求小朋友換完牙再治療的放任式冒險,或僅於換牙期間做短期及局部性間斷治療。全程規劃式的矯正治療讓小朋友的牙齒及顎骨的生長過程,完全在矯正醫師的監督控管中,有最全盤的齒顎生長規劃,不至於有因家長或醫師疏忽而導致小朋友得拔牙或開刀治療的意外,是最完善的齒顎矯正方法。全程療法約需4~8周回診一次,費用僅比成人矯正略高一些,但是卻可免掉拔牙或開刀的危險,並可幫助口腔衛生及社交心理等許多的優點,是相當值得推薦的。
矯正完後,牙齒又變亂,在矯正學上叫做復發。復發的情形,在矯正學創立百年以來,一直是矯正醫師相當頭痛的問題。復發的原因,一方面是牙齒的周圍組織,如牙周韌帶及骨頭內的纖維等,在受矯正力改變形狀後,具有再復原之能力,但是這種復原的結果會使治療後較理想的牙齒位置,又朝原本擁擠凌亂位置移動。此外,殘餘的顎骨生長,以及異常的口腔功能,都可能是復發的元兇。這些復發原因,以現在的矯正醫學還無法百分之百的避免,醫師可以做的建議,就是要患者勤勞地戴維持器,如果有口腔異常功能的患者也需戒除,以保持齒顎之穩定。但是即使戴了維持器,還是會因為患者個人條件的不同,有些人有可能會再復發,有些人就不大會,這是因人而異的。一旦復發到不好看或影響功能時,就要考慮再治療。
有些人會疑惑,牙齒矯正好了,怎麼可能會再亂掉?牙齒不是死的嗎?硬梆梆的嗎?怎麼可能會再移動?這就是對牙齒生理的不瞭解所造成的輕忽,往往這樣的輕忽也會使患者更容易復發,有時還會怪罪醫師沒治療好。其實,牙齒是活生生的,有神經,有血管的。即是牙齒因受損而被抽掉神經,它周遭的組織也仍還是活著的。牙齒雖硬,但是可以被矯正裝置所產生的力量推動,當然也可以被隱藏在周遭組織內的纖維彈力所拉動,也會被舌頭的推力所推動。所以我經常會告訴患者,不要心存僥倖,還是好好戴維持器吧。
如果復發在一定程度內,其實影響美觀及功能有限,不見得需要處理。但是如果患者已經覺得復發程度影響到美觀或功能,當然就有再治療的必要。一般再治療,原本的矯正醫師都會給些折扣,所需的費用可以與矯正醫師討論。當然如果再治療後,也不是就不會再復發,這時患者應該仔細審視之前維持的是否夠努力,如果沒有,這回就一定要努力戴,以免又要再治療一次。如果你已經覺得自己已經非常努力戴維持器了,但是還是復發,就應該在這新的治療前,與醫師討論如何去降低復發的因素。
在國內,偶而會碰到有些患者會不能接受再治療還要花錢的情況而產生爭執,這也是需要諒解及修正觀念的。想想哪一種治療有保固一輩子的嗎?給醫師治感冒好了後,下次感冒還是得花錢的。即使醫學美容,打脈衝光、玻尿酸或肉毒桿菌,效果也沒有維持一輩子的,復發後,下次再打還是得花錢的。矯正醫師並沒有比美容醫師還厲害,所以不要有過度的期待。正確觀念還是把矯正當成一種醫學美容,不要求永永遠遠,但求活在當下時,不好看就給自己投資一下,讓自己變美。也不要有,既然會復發,乾脆不做矯正的想法,就像既然未來還會生病,乾脆生病就不看醫生了,這樣的想法又太消極了。
一般而言,牙齒經過越大程度的移動,復發的強度也會越大。此外,牙齒在位置上待越久(指成人後才矯正),被移動後,再新的位置上較會不習慣,會特別想回到原來的位置,所以這些情形會比較容易復發。因此,現在鼓勵換完牙就矯正,甚至早期矯正,更早將牙齒移到未來應有的位置上,這是比較不會復發的方法。當然異常口腔功能也需治療並定期回診追蹤,也是降低復發率的方法。
牙齒擁擠或許可以看作是一種文明病,多數非洲人擁有一口整齊漂亮的牙齒,反觀相當現代化的日本人,不少人必須藉助矯正才能維持牙齒的美觀。因此,一個既未被證實也未被推翻的假說認為,是飲食走上精緻化,人們不需要像從前花費較大力道咀嚼,缺乏功能性刺激的牙床便逐漸萎縮,而牙齒的大小與咀嚼刺激關係不大,所以沒有跟著變小,所以才造成現代人牙齒擁擠的問題。另外一方面,食物甜度提高也是一個原因,乳牙原來就是要為恆牙的生長預留空間,但是蛀牙讓完整的牙齒缺損了,佔的位置不夠,將來的生長空間就變得不足。
"健康的恆齒來自健康的乳牙"這句話的道理就在這裡。也是為什麼兒童牙醫會幫拔掉乳牙的小病人裝上空間維持器。但是,維持器並不能保證未來恆齒生長的空間足夠,因為或許本來乳牙預留的空間就不能滿足恆齒的發育。
平均來說,牙齒的生長順序,又稱六歲齒的第一大臼齒,是最早生出的恆齒,但是因為藏在後方,不容易察覺。之後是最前的兩顆門牙,到了七 八歲最前面兩顆牙旁的牙齒也會長成。作為門面的四顆牙齒,一旦生長異常,如:重疊、開叉(兩顆夾角過大)或是旋轉(牙齒的側面,部分轉到前面來了),常是牙齒擁擠的先兆。牙齒具有一股向前排中心生長的力量,學術上稱為"往近心生長",一旦前排牙齒沒有預先排好,每顆牙齒產生的力量無法互相抵銷,彼此抗衡,便會一直向中央靠攏,壓縮後來牙齒的生長空間。

你曾經注意過自己吞口水的方式嗎?現在來做個測試:吞口水,並注意一下動作完成後舌尖的位置,若是在上顎側,距上排牙齒二到三米釐,那你的吞嚥模式屬於成熟型。假如是在其他地方,恐怕你需要做些改變了!因為臉
型的外凸、咬合不正、無發順利發出像S這樣的切音,甚至對鼻子呼吸產生干擾,都與不成熟的吞嚥方式有密切的關聯。
吞口水的模式可以分為嬰兒型(infantile swallowing)與成熟型(mature swallowing)。可以觀察嬰兒吸奶瓶時的舌尖,通常是前後運動,這是我們與生俱來的本能,在正常情形下,成長到四歲,會因為控制舌頭運動神經的成熟,讓我們的吞嚥方式轉變為上下移動的成熟型。
但是,在某些人身上,嬰兒期的前後吞嚥動作,卻不知道為什麼保留到四歲以後,在學術上稱之為"舌前推"(tongue thrusting),意思是舌頭吞嚥異常。無論是病人本身或是家長都很少察覺這個問題。有人會問:維持嬰兒期的吞嚥,會有什麼妨害嗎?有必要做任何改變嗎?事實上,這樣的不良吞嚥方式,口腔內肌肉協調的不穩定將影響牙齒以及顎骨的發育,問題將出現在臉型、咬合以及發音上。
短下巴、長下巴、開咬以及暴牙,都有可能是吞嚥方式未成熟的結果。直覺來想,力量出在哪哩,變形就發生在哪裡。當吞嚥動作完成時,假如舌尖處於上排牙齒後方,這樣就是對上排牙齒施力,或許力量很小,但是經年累月的效果不容小覷,久而久之就變成暴牙了。若是舌尖最後停留在上下排牙齒之間,就會出現上下排牙齒不能正常合攏的開咬現象(open bite)。進一步若是伴隨著上排牙齒突出,舌頭內縮,就成了凹陷的短下巴。長下巴則是另一種相反的狀況了。
以暴牙為例,一般的矯正原理是透過拔除四顆小臼齒,以其後方牙齒為支點,綁上鐵絲,拔河般地將前排牙齒往後拉。但是若是沒有了解到"舌前推"才是真正的致病元兇,只單純地進行機械性的型態矯正,那就是治標不治本了,將會大大抵銷矯正的成果。因為裝上矯正器便是希望有一股向內拉的力量,把凸出的牙齒往內拉,但是舌頭卻唱反調地往外推,怎麼不讓矯正效果大打折扣呢?問題不只出現在矯正過程中間,外推的力量不除,被拉回來的牙齒,可能會又再次外凸。
假如發現了舌前推,那該怎麼辦呢?其實是可以透過肌功能治療( myofunctional therapy)中的吞嚥訓練而獲得改善的,醫生教導病人成熟型的吞嚥方式,要病人從每個鐘頭五分鐘做起,像是七點到七點五分要注意自己怎麼吞口水,從第一週每小時五分鐘,第二週十分鐘,循序漸進到無時無刻都是用成熟模式吞嚥,便能將習慣改過來。醫生應當善盡告知的義務,但是最終還要靠病人的配合與持之以恆的練習,如此功能上的復健與型態的矯正並進,兩者相得益彰,才能獲致最佳效果。

當小孩出現上排牙齒覆蓋下唇、微微暴牙的狀況時,父母要留心注意了!若是不加以矯正,長大後下半臉將越來越小,出現臉型比例失衡的狀況。原因是一般牙
齒若無正常的對咬,牙齒便會越來越長,因為沒有相對的一排牙齒來抑制其生長。後果除了外型上的不美觀外,甚至會因為上排牙齒咬到下牙齦,導致牙齦的不舒服,進一步還有演變成牙周病的可能。
在實際的病例之中,小女孩七歲來求診,上顎門牙向外凸出,下排牙齒則是向內凹,因此出現上顎略為覆蓋在下唇之上的現象,經歷了半年的治療,上下顎的差距縮小,嘴巴也可以正常地覆蓋,當然兔寶寶的牙齒也不見了。醫師利用活動式矯正器,引導尚未發育完全的肌肉、軟組織與肌肉,配合訓練耳朵內側附近控制下顎活動的顳顎關節,將下顎拉長,改善下巴太短的情形。這裡所用的是一套源自德國柏林的功能性矯正裝置(functional orthopedics),除了型態(form)上的改變外,也重視功能(function)上的改變。
當開始步入矯正治療之後,由於口內裝置的複雜程度不一,所以在適應作息方面多少都會有所不同。活動式矯正器改變習慣最少,由於可以輕易的拿上拿下,清潔度方面只要比照日常的潔牙方式即可,生活習慣方面,由於口內異物感較重,所以發音、美觀會有影響,不過習慣了之後,這也不是問題,因此比較麻煩的是固定式矯正裝置。
固定式矯正器,就如同文字面,是病人本身無法取下的裝置,也因為醫師治療計畫的不同,口內裝置時常在改變,因此在清潔方面更要格外注意。初期裝上矯正裝置時,由於人體反應的關係,牙齒難免會酸痛,黏膜難免會受傷,在這段適應期,要特別注意飲食的改變,還有做好保護自己的措施。
生活習慣方面:
保護自己方面:
飲食方面:
由於口內的固定式矯正裝置繁複,避免清潔不易、造成蛀牙危機,同時也避免矯正器鬆脫的機率,因此適度的飲食控制是必要的。
矯正托架上的食物如果不能徹底清除可能會使您的牙齒變色且有蛀蝕的可能。即使矯正托架及弓線是由金屬所製成的,但如果咬很硬或很黏的東西,它們仍是會掉落的;通常不正當的飲食方法會使矯正治療時間拖得更長。
盡量避免食用的食物
當然,如果有把握清的乾淨,均衡的飲食還是必要的,不要偏食,這樣可以讓骨骼做正常的吸收與堆積,讓牙齒健康的移動,維護牙周健康。
清潔方面:(刷牙與牙線的使用)
用牙刷潔牙永遠是最重要的一件事,它負擔了80%以上的重責大任,剩下的是牙線使用。至於牙間刷、漱口水、沖牙器、電動牙刷林林總總的商品大都是提高潔牙效率,視情況斟酌使用即可。潔牙時機以飯後和睡前是最佳時機,尤其最重視睡前的黃金時刻,多花點時間和努力,讓口腔更健康。
◎刷牙
將每顆牙齒沿著矯正線分為上下兩部分(靠牙齦部分及靠咬合面部分),以小幅度的水平、旋轉方式來刷,每顆牙齒上下部分各刷至少十圈!要按照一定順序刷,避免遺漏!牙刷刷毛要貼緊牙齒,尤其是牙齒間之凹陷處。
刷靠牙齦部分時,要特別將刷面成45度向著牙齦溝,以清潔牙齦與牙齒交界處之牙齦溝。另外也要注意將矯正器的上下邊緣刷乾淨!
兩牙齒臨接的齒面部分,可用矯正專用的單束毛牙刷或牙縫刷,伸入矯正金屬線與齒面間的空隙,上下來回地刷,同時注意將矯正器的兩側邊緣刷乾淨。未上矯正器的內外側齒面部分及咬合面部分也要刷!
◎牙線(棒型)使用
上了矯正器之後,依舊仍須使用牙線。但傳統牙線使用不便,必須藉由較堅硬的牙線穿引器作為引導,方便作穿入穿出的動作;市面上有牙線、穿引器合併的產品,更方便病人隨時使用。
用食指、中指及大姆指固持牙線棒體,將牙線棒橫置於牙齒上,然後利用牙線棒靠外側的腳,去感覺兩牙齒間之臨接處。 將靠外側的牙線支柱沿著臨接處輕輕地做微向外彎的上下的磨擦運動,以將牙線滑入牙縫中,同時要避免用力碰撞矯正線或矯正裝置。用食指、中指及大姆指固持牙線棒體,將牙線棒橫置於牙齒上,然後利用牙線棒靠外側的腳,去感覺兩牙齒間之臨接處。 將靠外側的牙線支柱沿著臨接處輕輕地做微向外彎的上下的磨擦運動,以將牙線滑入牙縫中,同時要避免用力碰撞矯正線或矯正裝置。
然後以上下磨擦的方式去清除牙縫及牙齦溝內之牙菌斑;取出時,同樣使用輕輕的前後磨擦運動,以將牙線滑出牙縫。旋轉牙線棒,換另一側乾淨的牙線或換新的牙線棒來清除每一個牙縫。
用食指及大姆指固持牙線棒之引導柱去感覺兩牙齒間的臨接面凹陷處,並將引導柱沿著臨接面凹陷處向外旋轉穿過牙齒與矯正線間之空隙。
◎牙線(線型)使用
用食指及大拇指固持牙線棒之引導柱去感覺兩牙齒間的鄰接面凹陷處,並將引導柱沿著臨接面凹陷處向外旋轉,穿過牙齒與矯正線之空隙。
用另一隻手將引導柱拉出,穿越時要避免用力碰撞矯正線或矯正裝置;穿越後再將牙線纏繞於雙手中指上,並用食指及大姆指持著牙線並拉緊,用前後磨擦方式滑入牙縫中。
以上下磨擦兩側牙齒表面的方式去清除牙縫及牙齦溝內之牙菌斑;取出時,同樣使用輕輕的前後磨擦運動將牙線滑出牙縫,然後放鬆一端持著牙線的手,用另一手持著引導柱將牙線緩緩拉出。



以往的矯正方式,民眾多數停留在大鋼牙的既定印象中,這是很常見的現象。隨著民眾需求不斷的提升,就連矯正也要美美的,於是乎發明了隱形數位矯正這項技術。它的原理是準備好病人的齒模,利用電腦掃瞄、軟體分析、規劃出牙齒未來依序的移動方向,再將這結果,利用電腦製作出來新的矯正隱形牙托,方便讓病人按時替換。優點就是美觀、舒適,清潔方便,即便需要公共場合現身,也可以輕易的拿下來。缺點就是費用較為昂貴,也不是每種狀況都適用。
數位矯正有其適應症,多半用在:不需要拔牙的病人身上,且後方牙齒咬合不錯,但前牙美觀區的咬合和門面需要矯正的人,以時間來估算,一年內可以完成的案例是最為適當的。隱形矯正不像傳統鋼牙矯正這麼的有效率,因此若需要拔四顆牙作全口矯正的病患,通常就不適合了,治療費用昂貴,且治療時間太久,這樣就失去了數位矯正的價值。因此到底適不適合,還是得找醫師親自評估唷!
數位矯正是這時代最新的矯正技術,醫師多半要具備上課認證,方能學會此系統的操作和運用。全世界最流行的兩大系統:Clear Aligner & Invisalign是普遍流行於台灣市場的。因此若有這樣需求的民眾,不妨尋找這兩個品牌的官方網站,尋求有該認證系統的醫師,這樣可以確保治療品質。
一般傳統的矯正大概是4-6週回診一次,而數位矯正也是差不多。但不同的是數位矯正可以因為病人的需求,而量身訂作一系列的矯正隱形牙托,方便病人不能回診時先自行配戴,方便度大為提高,只要好好的配戴,幾乎不會出錯,也減少回診的頻率。但即便如此,建議這樣的病人還是要定期回來給醫師檢查,以免自我感覺良好,事實上已經偏離原有矯正醫師的設定方向了,這樣就需要再花錢、花時間修正回來。數位矯正因為沒有鋼絲、矯正器,所以幾乎不會有矯正器脫落、破皮、刺肉的困擾,此外矯正牙托是將整個牙齒包覆住,安全感也較為強烈,因此根據經驗顯示,多半數位矯正的病人適應較快,也較為舒服。
隱形牙套必須每天佩戴20小時以上(吃飯刷牙可以拿下來),效果才會顯著,否則效果不佳。進食、刷牙及喝熱飲(約50~60℃)時必須取下,否則牙套會變形。無論在家或是外出時,切記不可用衛生紙包裹,常容易被誤認為垃圾丟棄。剛開始戴隱形牙套時,因矯正的力量,牙齒會有稍微酸痛的情形,此為正常現象,約三~四天便會消失,此期間建議吃較軟的食物。矯正完畢後,跟傳統矯正一樣,都必須要配戴維持器,以便保持矯正完的成果。


→超音波洗牙:基本上洗牙主要是清洗牙結石,以及清除部分染色,頂多恢復原有牙齒的顏色,而非漂白,屬於預防牙周病的治療。
→噴砂:使用儀器將牙齒表面的外因性色垢利用噴砂粉高速噴除,也是屬於恢復牙齒原有顏色的做法。
→拋光:使用低速毛刷配合潔牙粉將牙齒表面凹凸不平坑洞補平,並保持光滑,可避免色垢堆積。
→美白牙膏:效果因人而異,而且因成分不同,可能會造成牙齒表面的磨耗
→居家美白:市售很多居家美白的商品,藥劑成分不明,建議不要冒險嘗試。醫師交付的居家美白,效果好上一大截,因為是醫師專用的處方,外面不可能購得,更為安心保障。
→冷光美白:利用冷光(不發熱的藍色波長LED),配合20-30%的漂白劑,刺激分解活化,達到漂白的效果。
→假牙或薄瓷貼片:有些牙齒的狀況是怎麼漂白都很難令人滿意,只好利用假的東西去遮掩,達到美觀的效果。
不管是什麼美白方式,都會有美白藥劑的存在。這些藥劑通常都含有過氧化物,利用氧化還原的作用,牙本質小孔會打開,通透性增加,藥物的自由基才會進入牙齒本質內部,將碳色素環打破,產生顏色的改變。.通常濃度越高,美白效果越迅速,但敏感酸痛的副作用會越強,因此超過10%以上的產品,通常是管制品,要由醫師來處置會是比較安全的做法。通常冷光的濃度較高(約20-30%),居家美白的濃度較低(約10-15%),但只要作用的時間足夠,最後的效果是差不多的。
牙齒美白在醫師的指導下,並不會傷牙齒。美白過程中,最大的副作用就可能會產生酸痛感(請考慮每個人的個體差異性),但多半在藥物移除後,自然會慢慢恢復。濃度高的藥劑,一定要由醫師親自操作,因為容易誤傷牙齦,所以要做好保護的動作。美白牙齒如果保養得當,多半會維持一兩年,但不可能永遠這麼白,多少都會有回色的問題,如果要定期維持美白效果,建議半年作一次居家美白即可,效果通常都很好。
美白產品似乎已成為愛美人的必備資訊,不管是牙齒美白還是皮膚美白,市面上都有一大堆產品可以去體驗。但不同的是,有些市售產品成分標示不清,濃度也不見得可以有效控制,所以效果常常不如醫師作的來的明顯,這就是DIY和專業最大的不同考量。如果想抱著嘗試的心態,看清楚廠商提供的說明,按部就班的去作,或許這樣的效果就可以滿意了,但若是不滿意,建議直接找牙醫師諮詢會比較妥當。
美白效果是見仁見智的,況且每個人的期待都不一樣,所以很難有客觀的標準。一般來說做過美白的牙齒,多半會改善8-10個色階,所以還是有其效果。醫師並無法很具體的告訴你,可以改善到哪種程度,但有作一定有差別,這是我們能給的承諾。醫學就是這樣,一樣的療程、一樣的藥物作法,展現在每個人的身上就是不一樣,不要過於苛求。我們也遇過對美白不滿意的病人,那麼薄瓷貼片就是最好的選擇,想多白就多白,反正是假的,技術上一定做的到。通常有四環黴素染色的牙齒,美白效果就差,會較不建議作美白,浪費錢,而懷孕、哺乳、正在發育的小朋友、青少年都不建議作美白療程。
不管是什麼美白方式,最後都會有居家美白這一部份,作冷光美白的朋友,不要忘記一樣要用居家美白維持,要不然很容易回色。每天一次持續戴三到六小時不間斷,配戴有時會有不舒服酸軟的現象,屬於正常現象,不必太擔心,避免吃過於冰冷的食物,降低刺激。使用前先用餐完畢,喝完水後,再開始美白療程。療程結束後,可拿掉沖洗乾淨,漱口飲食皆可。美白期間,若要喝水,請用吸管,較為安全。如果過於敏感,建議隔日暫緩療程,後天再繼續。美白視劑量決定,通常配戴7-14天左右,請注意:戴過久並不會增加美白療效,反而會傷害牙齒。美白期間至美白後一個禮拜,要避免吃會染色的食物:如菸、紅酒、咖啡、紅茶、咖哩等等,飲食以白色食物為主,如鮮奶、豆漿等等。若時常有美白的需求,建議療程間需隔半年,讓牙齒有自我恢復的時間。